Schedule A Demo





    What is 7 + 3 ? Refresh icon

    X
    Contact Us
    We are glad that you preferred to contact us. Please fill our short form and one of our friendly team members will contact you back.





      What is 1 x 3 ? Refresh icon

      X
      CONTACT US

      Thank You — Your Request Has Been Received

      You’ll receive the Mint Aligners Pricing & Case Guide by email within 1 business day.

      If you’d like to connect sooner, feel free to reach us directly at support@compleclear.com or 877-627-4141.

      Offer Clear Aligners Without Paying Invisalign Prices

      Clear Aligner Pricing Built for Doctors — Not Investors or Shareholders

      Orthodontist-led treatment planning, fast turnaround, and predictable results — without investor- or shareholder-driven markups or inflated lab fees.

      Cases starting at $150

      50–70% lower lab fees than leading aligner systems

      Why pay more for the same results?

      Trusted by General Dentists and Orthodontists Nationwide

      With Mint Aligners, we keep out lab fees low without compromising quality. Every treatment plan is orthodontist-reviewed, which gives us confidence in every case.

      – Dr. R. Smith, DDS
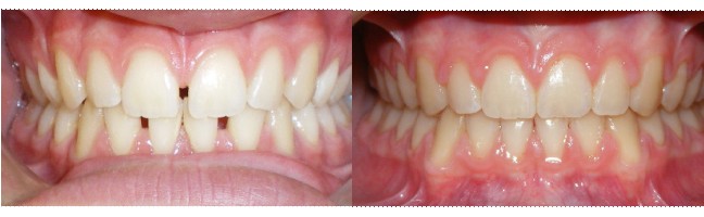
      Before and After Mint Aligners Treatment closing gaps between teeth

      CompleClear makes it easy for us to offer aligners at an affordable price. The results are excellent and the support is personal.

      – Dr. A. Patel, DDS
      Before and after Aligner treatment for open bite using Mint Aligners

      The affordable lab fees allows us to pass savings directly to patients, without sacrificing quality.

      – Dr. B. Miller, DDS
      Before and After Mint Aligners treatment correcting deep overbite

      CompleClear has been a reliable partner for our practice. Mint Aligners offer affordable pricing and exceptional results.

      – Dr. C. Taylor, DDS
      Before and after orthodontic treatment with Mint Aligners for crowded teeth

      Receive the Mint Aligners Pricing & Case Guide

      Includes complete pricing, treatment options, and case examples you can share with your team.

      We’ll only email you once with the guide. No spam. No sales pressure.

      What You’ll Find in the Guide

      Start Offering Clear Aligners the Smart Way

      No upselling. No hidden fees. Just orthodontist-planned treatment at a fair price.