Schedule A Demo





    What is 8 x 5 ? Refresh icon

    X
    Contact Us
    We are glad that you preferred to contact us. Please fill our short form and one of our friendly team members will contact you back.





      What is 7 + 2 ? Refresh icon

      X
      CONTACT US

      Thank You — Your Request Has Been Received

      You’ll receive the Mint Aligners Pricing & Case Guide by email within 1 business day.

      If you’d like to connect sooner, feel free to reach us directly at support@compleclear.com or 877-627-4141.

      Real Results with CompleClear

      See how Mint Aligners and SAOS Braces deliver effective transformations for doctors and their patients.

      Proven Results. Backed by Orthodontists

      Our orthodontist-led team has planned and delivered thousands of successful cases. From mild crowding to complex corrections, CompleClear solutions — Mint Aligners, SAOS Braces, and hybrid treatments — help doctors achieve predictable results at an affordable cost.

      With Mint Aligners, we keep out lab fees low without compromising quality. Every treatment plan is orthodontist-reviewed, which gives us confidence in every case.

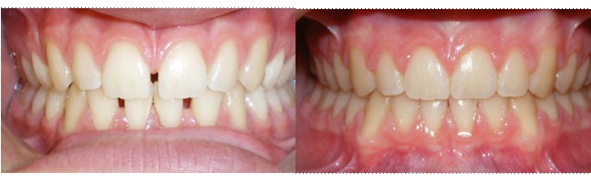
      Before and After Mint Aligners Treatment closing gaps between teeth

      CompleClear makes it easy for us to offer aligners at an affordable price. The results are excellent and the support is personal.

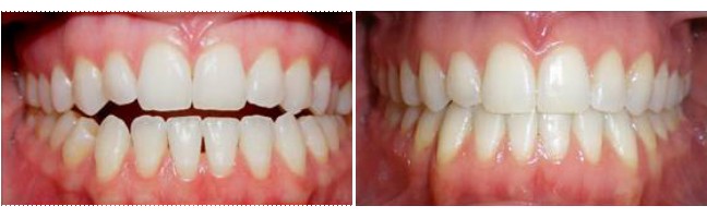
      Before and after Aligner treatment for open bite using Mint Aligners

      The affordable lab fee allows us to pass savings directly to the patients without sacrificing quality.

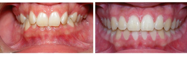
      Before and After Mint Aligners treatment correcting deep overbite

      CompleClear has been a reliable orthodontic partner. Mint Aligners offer great results at a fraction of the cost of Invisalign and ClearCorrect.

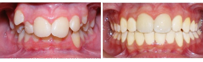
      Before and after orthodontic treatment with Mint Aligners for crowded teeth

      Common Cases We Treat

      See how CompleClear can help your practice.